14歳の少女がバランスWiiボードで足を折る-「従来のゲーム機より怪我する率が高く見える」
14歳の少女はバランスWiiボードで足の骨を折ってしまったそうです。
任天堂
Wii
英国の医学誌であるNew England Journal of Medicineが「Wii骨折」のタイトルで報じるところによりますと、バンベリーに住む14歳の少女はバランスWiiボードの上でバランスを崩して右足の骨を折ってしまったとのことです。
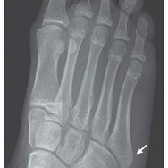
折れてしまったのは「中足骨」という足の中程にある骨。
足の指と足を繋ぐ骨で、細く弱いため比較的折れやすいことでも知られているそうです。
彼女の場合は右足の外側の中足骨の基部が折れてしまっており、松葉杖をついての通院治療が行われました。バランスが崩れた際に筋肉が激しく骨を引っ張ったことが原因ではないかと報告されています。
米国国立生物工学情報センター(NCBI)によればWii関連の怪我は2年で39件が報告されており、その46%は『Wii Sports』のテニスで発生しているそうです。
NCBIは「ゲームによる怪我はWii特有のものではなく、新しい現象でもない。しかしWiiはユニークなユーザーインターフェースのため、従来のゲーム機より怪我をする確率が高いように見える」とコメントしています。
《水口真》
関連リンク
この記事の写真
/
